骨關節炎(OA)是一種退行性關節疾病,在中老年人中發病率較高,主要表現為關節疼痛和功能障礙。它的發病率是十大非傳染性疾病之一。在中國50歲及以上人群中,8.1%的患者有癥狀性膝關節骨性關節炎,總人口超過3000萬。
間充質干細胞(MSCs)的治療作用主要歸功于其在炎癥環境中的免疫調節功能,可用于治療各種退行性和炎癥性疾病。例如:關節炎、潰瘍性結腸炎、移植物抗宿主病、系統性紅斑狼瘡等。
大量臨床試驗表明,骨髓間充質干細胞對關節炎具有顯著的治療作用。以下是間充質干細胞(包括臍帶間充質造血干細胞、骨髓間充質細胞和脂肪間充質肝細胞)治療膝骨關節炎的進展。
各種評分對膝骨關節炎的診斷都很重要:
VAS 主要評估疼痛;
WOMAC 用于評估老年人的膝骨關節炎;
Lysholm 評分在評估膝關節功能方面具有相對較高的可靠性、有效性和敏感性。
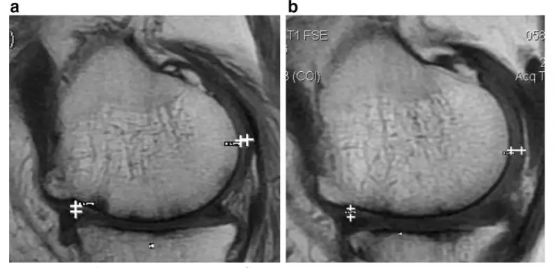
膝關節內注射 ADSC(SVF)和 PRP 治療骨性關節炎
(J Transl Med, 2017)
參與者人數:N=10
治療方案:將脂肪來源的基質成分 ADSVF 和 PRP 注射到關節腔內,并在治療后 1 周、1 個月、6 個月、1 年、1.5 年和 2 年測試結果。
評估指標:WOMAC 評分丨MRI
研究結果:經過 2 年的治療,WOMAC 評分也有所改善。6 分鐘內的步行距離也顯著增加。60% 的患者軟骨體積增加。

注:如上圖所示,左圖為治療前,右圖為治療后,白色“+”處示意軟骨增厚。
ADSC 治療嚴重膝骨關節炎 Ⅰ 期劑量遞增試驗
(Stem Cells Transl Med, 2017)
參與者人數:N=18
治療方案:關節腔內注射 2*10^6(低劑量)、10*10^6(中劑量)、50*10^ 6(高劑量)脂肪基質細胞(SVF),治療后約 6 個月檢測結果。
評價指標:VAS 評分丨WOMAC 評分丨Lysholm 評分丨MRI
研究結果:ADSVF 治療后疼痛明顯減輕,未發現不良反應。

注:上圖是治療前后的核磁對比,如之前的一樣,顏色越藍,代表軟骨質量越好。可以看出治療后軟骨質量明顯提高。
關節內注射兩種不同劑量的自體 BMSC 與透明質酸治療膝骨關節炎:多中心隨機對照臨床試驗(Ⅰ/Ⅱ期)
(J Transl Med, 2016)
參與者人數:N=30(隨機對照試驗)
治療方案:將 1*10^7(低劑量組)和 1*10^8(高劑量組)培養擴增的間充質干細胞(BMSCs)注射到關節腔內,并在治療后 3、6 和 12 個月檢測結果。
評價指標:主訴丨VAS 評分丨WOMAC 評分丨關節運動角度范圍丨MRI
研究結果:VAS 評分在治療后有所改善,而 WOMAC 評分在 6 個月后有所改善。經過 12 個月的治療,軟骨的體積和質量都有所改善,高劑量組表現出更好的改善。

注:上圖中可以看出不論是低劑量組或者是高劑量組,VAS 評分(疼痛指標)都是下降的。
關節內注射ADSC治療膝關節炎的臨床試驗
(Stem Cells. 2014)
參與者人數:N=18
治療方案:關節內注射離體擴增 1*10^7(低劑量組)、5*10^2(中劑量組)和 1*10^8(高劑量組)。在治療后 1 個月和 6 個月獲得測試結果。
評價指標:VAS 評分丨WOMAC 評分丨MRI
研究結果:注射脂肪源性間充質干細胞(ADSCs)后,膝關節疼痛明顯改善,軟骨體積和質量顯著增加。

注:上圖可以看出從左往右隨著治療的變化軟骨逐漸得到修復
關節鏡下評價 ADSC 移植治療膝骨關節炎軟骨損傷
(Am J Sports Med, 2014)
參與者人數:N=35
治療方案:將 3.8*10^6 脂肪間充質干細胞注射到關節腔內,并在治療后約 24-36 個月測試結果。
評估指標:IKDC 評分丨關節鏡檢查丨主訴
研究結果:ADSCs 治療可以顯著改善膝骨關節炎,BMI 越高效果越差。

注:上圖中 A-C 為 51 歲男性膝關節鏡,D-F 為 54 歲女性膝關節鏡。A/D 為治療前,白色示意軟骨,淺黃色示意裸露的骨。B/E 為間充質干細胞注射。C/F 為治療后的關節鏡檢查。
異體 BMSC 治療膝骨關節炎隨機對照試驗
(Arch Iran Med, 2012)
參與者人數:N=30(隨機對照試驗)
治療方案:將培養擴增的 4*10^7 間充質干細胞 BMSCs 注射到關節腔內,并在治療后 8 天、3 個月、6 個月和 12 個月檢測結果。
評估指標:MRI丨VAS 評分丨WOMAC 評分丨主訴
研究結果:與對照組相比,BMSCs 治療后明顯減輕了疼痛,改善了膝關節功能指數,減少了軟骨損傷。

注:上圖所示,顏色越紅代表軟骨質量越差。可以看出治療前(左邊)的軟骨大部分是黃色,治療后藍色明顯偏多,表示治療后軟骨質量增加。
國內外大量臨床前研究證實,來源于脂肪、臍帶、臍帶血和骨髓等組織的間充質干細胞(MSC)治療膝骨關節炎安全有效。膝關節炎也因此成為干細胞臨床應用的重要突破之一。
作為干細胞應用的理想種子細胞,間充質干細胞來源廣泛。由于其對安全性和有效性的廣泛臨床研究支持,其新藥開發、臨床試驗和臨床研究也備受期待。
相信在不久的將來,間充質干細胞將作為藥物正式進入臨床應用,這不僅可以提高骨關節炎患者的生活質量,還可以為整個再生醫學行業帶來巨大的機遇。
免責聲明:我們尊重原創,也注重分享。圖文來源網絡,版權歸原作者所有,如涉及作品內容、版權或其它問題,請聯系我們刪除!


閩公網安備 35020602002648 號
QQ 客服